오직 인대파열만
치료합니다.
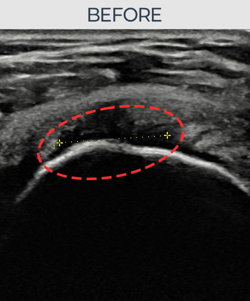
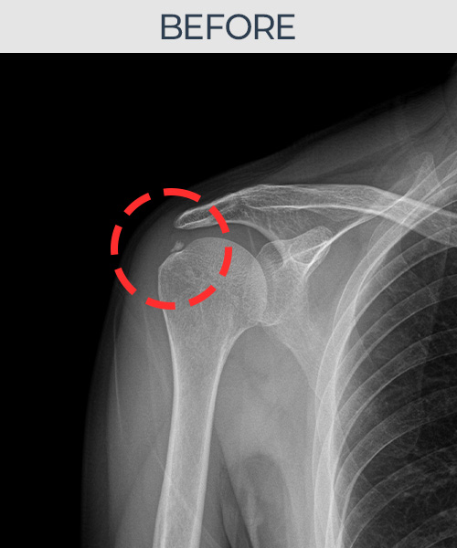
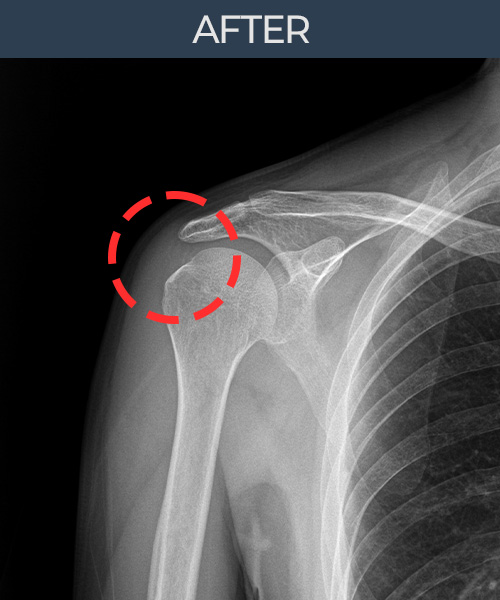
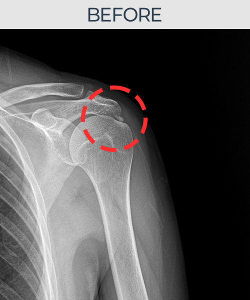
수천건의 수술 경험을 바탕으로 정확히 진단하여
인대파열을 비수술로 치료합니다.
수술을 해야만 재건이 가능한 인대파열도 있습니다.
플래티넘정형외과에서는 수술이 필요없는 인대파열만을
정확히 진단하여 특허받은 술기로 비수술로 치료합니다.









카톡상담
네이버예약
블로그
유튜브
인스타그램